
Por que a terapia antiestrogênica falha no câncer de ovário e como fazê-la funcionar

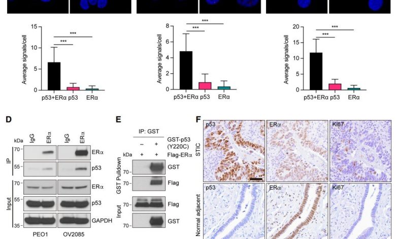
O mutante p53 interage com ERα no câncer de ovário. Crédito: Genes e Desenvolvimento (2025). DOI: 10.1101/gad.352953.125
Cientistas do Instituto Wistar resolveram um antigo enigma no tratamento do câncer de ovário: por que a terapia antiestrogênica muitas vezes falha mesmo quando os tumores expressam o receptor hormonal que deveria torná-los responsivos. O estudo revela que o mutante p53, que ocorre em 96% dos cancros do ovário serosos de alto grau, bloqueia a sinalização do estrogénio, o que aumenta a resistência ao tratamento. Os pesquisadores também identificaram uma potencial estratégia terapêutica que depende de um medicamento já explorado em ensaios clínicos.
“Esta descoberta muda fundamentalmente a forma como pensamos sobre a resistência à terapia hormonal no câncer de ovário”, disse Maureen Murphy, Ph.D., vice-diretora do Centro de Câncer Ellen e Ronald Caplan, Professor Ira Brind, líder do Programa de Oncogênese Molecular e Celular do Instituto Wistar e autor sênior do estudo.
“Nós não apenas descobrimos por que esses tratamentos falham, mas também identificamos um caminho claro para fazê-los funcionar. Para pacientes com variantes específicas do p53, podemos potencialmente combinar medicamentos aprovados pela FDA para superar a resistência”.
A terapia hormonal muitas vezes falha
O cancro do ovário seroso de alto grau é particularmente mortal, com uma taxa de recidiva de 80% após a quimioterapia inicial e um número de mortes previsto de 13.000 mulheres por ano apenas nos Estados Unidos. Embora quase três quartos destes tumores expressem receptores de estrogénio – sugerindo que deveriam responder a medicamentos bloqueadores hormonais – os ensaios clínicos destas terapias demonstraram uma taxa de benefício clínico de apenas 41%.
A investigação de Murphy sobre esta discrepância começou com uma descoberta inesperada durante o seu trabalho anterior sobre variantes genéticas da p53 encontradas em pessoas de ascendência africana. Quando a sua equipa analisou amostras de sangue de portadores destas variantes, descobriram que os genes responsivos ao estrogénio apresentavam actividade atenuada – uma pista que levou a sua equipa a explorar a ligação p53-receptor de estrogénio.
O papel do mutante p53 e uma nova esperança
No estudo mais recente do laboratório, publicado em Genes e Desenvolvimentoa equipe descobriu que a proteína p53 mutante se liga aos receptores de estrogênio, interrompendo uma importante via de sinalização hormonal. Quando isso acontece, o tumor torna-se resistente aos tratamentos hormonais.
Graças às colaborações com os principais parceiros do consórcio, como o Helen F. Graham Cancer Center & Research Institute, a equipe de Murphy conseguiu obter células de câncer de ovário humano e amostras de tecido de pacientes para testar se o mutante silenciador p53 restaurou a sensibilidade da terapia hormonal. A sua hipótese revelou-se correta: quando o p53 mutado foi silenciado, os tumores anteriormente resistentes responderam ao tratamento. Juntamente com Ronny Drapkin, da Universidade da Pensilvânia, eles confirmaram essas descobertas até mesmo nos estágios iniciais do câncer de ovário.
Combinações promissoras de medicamentos e direções futuras
“A parte mais emocionante veio quando testamos um composto chamado rezatapopt”, disse Murphy. “Este medicamento pode redobrar uma forma variante específica de p53 – chamada Y220C – de volta à sua forma normal. Quando combinamos o rezatapopt com a terapia hormonal, os tumores com esta mutação tornaram-se muito mais sensíveis ao tratamento”.
O Rezatapopt já está sendo testado em ensaios clínicos na Universidade da Pensilvânia e em outras instituições, o que significa que esta abordagem combinada poderia ser testada em pacientes de forma relativamente rápida. Além disso, os resultados podem ter implicações mais amplas para outros cancros provocados por hormonas. Por exemplo, o trabalho fornece uma explicação potencial para a razão pela qual a terapia endócrina por vezes falha em pacientes com cancro da mama com mutações p53, abrindo também novas direcções de investigação para melhorar o tratamento dessa doença.
A equipe de Murphy está agora trabalhando para expandir suas descobertas para outras formas variantes da p53. Eles também estão desenvolvendo métodos mais precisos para identificar quais pacientes se beneficiariam mais com tratamentos combinados direcionados ao p53.
“Nosso objetivo final é transformar isso de uma descoberta laboratorial em uma ferramenta clínica que ajude os pacientes”, disse Murphy. “Mostramos que o princípio científico funciona – agora precisamos traduzir isso em protocolos de tratamento que os oncologistas possam usar para ajudar seus pacientes”.
Mais informações:
Chunlei Shao et al, Mutant p53 se liga e controla a atividade do receptor de estrogênio para impulsionar a resistência endócrina no câncer de ovário, Genes e Desenvolvimento (2025). DOI: 10.1101/gad.352953.125
Fornecido pelo Instituto Wistar
Citação: Por que a terapia antiestrogênica falha no câncer de ovário e como fazê-la funcionar (2025, 11 de novembro) recuperado em 11 de novembro de 2025 em https://medicalxpress.com/news/2025-11-anti-estrogen-therapy-ovarian-cancer.html
Este documento está sujeito a direitos autorais. Além de qualquer negociação justa para fins de estudo ou pesquisa privada, nenhuma parte pode ser reproduzida sem permissão por escrito. O conteúdo é fornecido apenas para fins informativos.
