
Desativar uma via celular crítica pode ser a chave para parar a infecção mortal do rotavírus

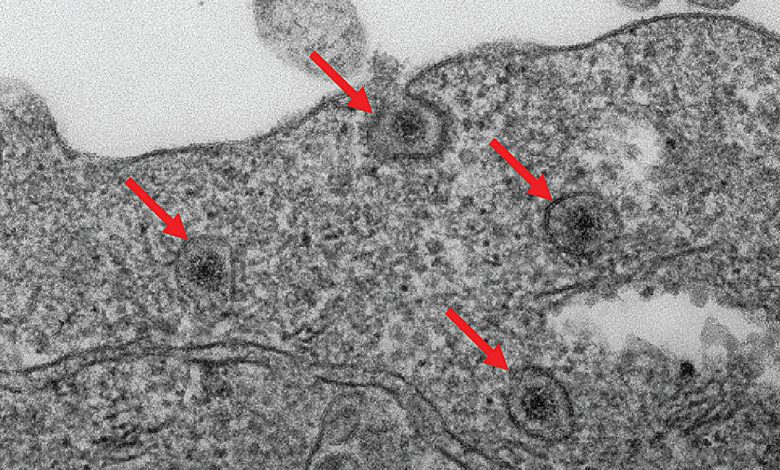
Novas pesquisas da Washu Medicine identificam uma enzima chave, chamada FA2H, que permite que o rotavírus infecte células. Quando o rotavírus entra em uma célula sem FA2H, ele fica preso em bolsos chamados endossomos (indicados por setas vermelhas). Isso impede que o vírus infecte o restante da célula. Crédito: Ding Lab
O rotavírus causa diarréia de desidratação grave em bebês e crianças pequenas, contribuindo para mais de 128.500 mortes por ano em todo o mundo, apesar dos esforços generalizados de vacinação. Embora o rotavírus seja mais prevalente nos países em desenvolvimento, a tomada de vacinação em declínio nos Estados Unidos resultou em casos crescentes nos últimos anos.
Novas pesquisas da Faculdade de Medicina da Universidade de Washington, em St. Louis, identificaram uma etapa -chave que permite que o rotavírus infecte as células. Os pesquisadores descobriram que desativar o processo na cultura de tecidos e em ratos impedia a infecção. Essa descoberta abre novos caminhos para intervenção terapêutica para tratar o rotavírus e outros patógenos que dependem do mesmo mecanismo de infecção.
Os resultados são publicados em Pnas.
“O rotavírus mata bebês e crianças, jovens que nunca tiveram uma chance na vida”, disse Siyuan Ding, Ph.D., professor associado de microbiologia molecular da Washu Medicine. “É por isso que queremos desenvolver terapêutica eficaz, mesmo que já tenhamos vacinas que podemos usar. Nem todas as crianças recebem a vacina, e esse vírus é muito infeccioso. Uma vez que uma criança tem o vírus, atualmente não há tratamento; só podemos gerenciar os sintomas”.
Enzima como código de entrada
Para identificar um possível tratamento, Ding e seus colaboradores se concentraram nas características das células do corpo que podem ser alavancadas para proteger contra infecções virais. Essa estratégia, disse ele, pode ter menos probabilidade de desencadear a resistência a medicamentos do que direcionar o próprio vírus e tem o potencial de trabalhar em várias doenças, porque se baseia em rotas de infecção compartilhada, não em características específicas da doença.
Quando uma partícula de rotavírus toca através da parede externa de uma célula, ela não é imediatamente livre para infectar a célula. Em vez disso, o vírus surge dentro de um pequeno compartimento celular chamado endossomo.
Os pesquisadores identificaram uma enzima nas células chamadas 2-hidroxilase de ácido graxo (FA2H), essencial para os endossomos que escapam de rotavírus e as células infectadas por rotavírus. Usando técnicas avançadas de edição de genes, eles removeram o gene FA2H das células humanas e descobriram que os vírus permaneceram presos em endossomos e não conseguiram se replicar efetivamente. Em outras palavras, desativar o FA2H impediu a infecção desde o início.
Para confirmar esses resultados em modelos animais, os pesquisadores criaram camundongos geneticamente modificados ausentes especificamente a enzima FA2H nas células que revestem o intestino delgado. Esses camundongos mostraram significativamente menos sintomas quando infectados com rotavírus em comparação com camundongos normais, demonstrando a importância do FA2H em infecções virais.
Diferentemente das vacinas que normalmente sugam o corpo para produzir anticorpos que impedem que os patógenos entrem em primeiro lugar, desativar o FA2H intervém no curso normal da infecção para criar uma linha complementar de defesa celular baseada no hospedeiro contra rotavírus e infecções semelhantes.
“Os vírus dependem de hosts, por isso estamos impedindo a infecção, impedindo -os de usar as máquinas do host”, disse Ding. “Nós realmente não sabíamos como essa enzima, FA2H, funcionou até este estudo, mas agora estamos vendo que o mesmo processo ajuda outros patógenos, como o vírus Junín e a toxina Shiga, sugerindo um” código de entrada “comum usado por vários agentes causadores de doenças”.
Agora que Ding e seus colaboradores identificaram esse caminho como um mecanismo de entrada amplamente explorável, eles podem começar a testar medicamentos que duplicam o efeito da edição do gene FA2H.
Mais informações:
Enkai Li et al, ácido graxo 2-hidroxilase facilita Anais da Academia Nacional de Ciências (2025). Doi: 10.1073/pnas.2511911122
Fornecido pela Universidade de Washington em St. Louis
Citação: Desativar uma via celular crítica pode ser a chave para interromper a infecção mortal do rotavírus (2025, 7 de outubro) recuperada em 7 de outubro de 2025 de https://medicalxpress.com/news/2025-10-disabling-critical-cellular-pathway-key.html
Este documento está sujeito a direitos autorais. Além de qualquer negociação justa para fins de estudo ou pesquisa particular, nenhuma parte pode ser reproduzida sem a permissão por escrito. O conteúdo é fornecido apenas para fins de informação.






