
Biomarcadores baseados em RNA podem facilitar a detecção de insuficiência cardíaca em mulheres

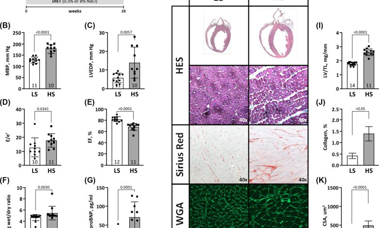
O modelo animal DSS desenvolveu disfunção diastólica e se assemelha às características da ICFEP. Crédito: Insuficiência Cardíaca ESC (2025). DOI: 10.1002/ehf2.15324
Diagnosticar insuficiência cardíaca em mulheres pode ser particularmente desafiador. Novas pesquisas sobre biomarcadores podem levar a diagnósticos mais precisos de insuficiência cardíaca, tanto em mulheres como em homens.
A insuficiência cardíaca afeta milhões de pessoas em todo o mundo. No entanto, você sabia que muitas vezes as mulheres são mal diagnosticadas ou recebem o diagnóstico tarde demais?
Como o termo pode sugerir, insuficiência cardíaca significa que o coração não consegue bombear sangue suficiente para as células do corpo.
Existem dois tipos principais de insuficiência cardíaca. Na insuficiência cardíaca com fração de ejeção reduzida (ICFEr), o coração apresenta capacidade diminuída de bombear sangue. Na insuficiência cardíaca com fração de ejeção preservada (ICFEp), o coração luta para se encher de sangue.
A ICFEP é o tipo mais comum de insuficiência cardíaca e particularmente prevalente entre mulheres idosas, mas também é o mais difícil de diagnosticar.
Diferentes tipos de insuficiência cardíaca requerem tratamentos diferentes
Os vários tipos de insuficiência cardíaca requerem diferentes estratégias terapêuticas, tornando crítico o diagnóstico preciso.
“Precisamos diferenciar os dois tipos de insuficiência cardíaca para que possamos fornecer diagnósticos precisos aos pacientes e, consequentemente, o tratamento mais eficaz”, diz Reza Parvan, Ph.D. estudante do Instituto de Pesquisa Médica Experimental (IEMR) da Universidade de Oslo e do Hospital Universitário de Oslo.
Falta de biomarcadores eficazes para diagnosticar ambos os tipos
Os biomarcadores são ferramentas cruciais na medicina, frequentemente usados para fornecer diagnósticos precisos aos pacientes.
Embora existam vários biomarcadores disponíveis para diagnosticar o primeiro tipo de insuficiência cardíaca, atualmente não existem biomarcadores adequados o suficiente para ajudar os médicos a distinguir entre os dois tipos de insuficiência cardíaca, fornecendo assim informações significativas aos pacientes.
Moléculas pequenas podem fornecer respostas
Parvan e seus colegas podem ter encontrado uma solução. Eles estão investigando se pequenas moléculas podem indicar o tipo de insuficiência cardíaca que uma pessoa tem.
“Exploramos como certas moléculas pequenas podem funcionar como biomarcadores para o diagnóstico de insuficiência cardíaca”, explica ele.
Os pesquisadores identificaram pequenas moléculas no sangue conhecidas como microRNAs. Estas pequenas moléculas de RNA refletem a expressão genética e podem indicar o estado e a gravidade da doença.
Eles identificaram com sucesso um painel composto por quatro desses microRNAs.
Este novo painel de biomarcadores pode diferenciar entre pacientes com insuficiência cardíaca e indivíduos saudáveis, bem como distinguir eficazmente entre os dois principais tipos de insuficiência cardíaca.
Os trabalhos são publicados em Medicina BMC e Insuficiência Cardíaca ESC.
Descobertas significativas para diagnosticar mulheres com insuficiência cardíaca
Esta descoberta é particularmente significativa para as mulheres.
“Descobrimos que dois destes microRNAs são especialmente relevantes para as mulheres”, observa Parvan.
Assim, os investigadores identificaram vários biomarcadores que também têm em conta as diferenças de género.
“Nossos métodos podem levar a diagnósticos mais precisos de insuficiência cardíaca, especialmente para a frequentemente negligenciada ICFEp”, diz Parvan.
“Considerando que a maioria dos pacientes com ICFEP são mulheres e esta é a forma mais comum de insuficiência cardíaca entre os idosos, este é um avanço importante”, acrescenta.
Diagnósticos precisos melhorarão a qualidade de vida dos pacientes
Aproximadamente 26 milhões de pessoas em todo o mundo são diagnosticadas com insuficiência cardíaca.
“As estimativas sugerem que o número real pode ultrapassar 37 milhões. Acreditamos que a diferença nos números pode ser devida a casos não diagnosticados de insuficiência cardíaca”, explica Parvan.
“Diagnósticos mais precisos levam a um melhor manejo da doença e podem potencialmente melhorar a qualidade de vida de muitos pacientes”, acrescenta.
Prevendo o risco de insuficiência cardíaca
Parvan e seus colegas também demonstraram que estas moléculas podem ser usadas para prever o risco de desenvolver insuficiência cardíaca e complicações relacionadas, tais como hospitalizações, readmissões e mortes relacionadas com o coração.
A insuficiência cardíaca é a principal causa de hospitalizações em todo o mundo.
“Mais da metade dos pacientes são readmitidos no hospital seis meses após a alta”, afirma.
Ainda mais preocupante, ressalta ele, é o prognóstico a longo prazo para indivíduos com insuficiência cardíaca.
“O prognóstico indica uma taxa de mortalidade de 60% em cinco anos após o diagnóstico. Todas as formas de insuficiência cardíaca têm pior prognóstico em comparação com indivíduos sem a doença”, afirma.
Testes em grupos de pacientes
No futuro, os pesquisadores planejam realizar a validação clínica desses painéis, o que significa que irão testá-los em várias coortes de pacientes.
“Isso garantirá que nossos resultados sejam robustos e confiáveis”, diz Parvan.
Explorarão também a inclusão de outros tipos de biomarcadores, como proteínas, análises laboratoriais, tecnologias de imagem e marcadores genéticos em pacientes submetidos a transplantes de coração ou fígado.
Se for bem-sucedido, isso poderá ajudar os médicos a fazer diagnósticos mais precisos, especialmente em mulheres.
Na vanguarda dos diagnósticos médicos inovadores
A pesquisa conduzida por Parvan e seus colegas representa um passo significativo em direção a uma medicina mais personalizada no tratamento da insuficiência cardíaca.
“Com esta pesquisa, nos posicionamos na vanguarda dos diagnósticos médicos inovadores, com foco no desenvolvimento futuro de kits de testes baseados em RNA”, explica Gustavo JJ da Silva, pós-doutorado no Instituto de Pesquisa Médica Experimental.
Da Silva observa que o seu desenvolvimento não se limita apenas aos biomarcadores baseados em RNA ou à insuficiência cardíaca.
“O método que desenvolvemos mostra-se robusto o suficiente para ser aplicado também a outros grupos de pacientes, incluindo outros pacientes cardíacos e não cardíacos”, afirma.
“Poderemos identificar outros tipos de marcadores, desde proteínas e marcadores genéticos até tecnologias de imagem. Isso abre a possibilidade de desenvolvimento de painéis multimodais de biomarcadores para diversas necessidades clínicas, não apenas limitadas à insuficiência cardíaca”, conclui.
Mais informações:
Reza Parvan et al, Painéis prognósticos e preditivos de microRNA para pacientes com insuficiência cardíaca com fração de ejeção reduzida ou preservada: uma meta-análise de dados individuais de pacientes baseados em Kaplan-Meier, Medicina BMC (2025). DOI: 10.1186/s12916-025-04238-0
Reza Parvan et al, Painel de diagnóstico multimicroRNA para insuficiência cardíaca com fração de ejeção preservada em ambientes pré-clínicos e clínicos, Insuficiência Cardíaca ESC (2025). DOI: 10.1002/ehf2.15324
Fornecido pela Universidade de Oslo
Citação: Biomarcadores baseados em RNA podem facilitar a detecção de insuficiência cardíaca em mulheres (2025, 29 de outubro) recuperado em 30 de outubro de 2025 em https://medicalxpress.com/news/2025-10-rna-based-biomarkers-easier-heart.html
Este documento está sujeito a direitos autorais. Além de qualquer negociação justa para fins de estudo ou pesquisa privada, nenhuma parte pode ser reproduzida sem permissão por escrito. O conteúdo é fornecido apenas para fins informativos.
