
Organoides fornecem novos insights sobre malformações raras do desenvolvimento do cérebro humano

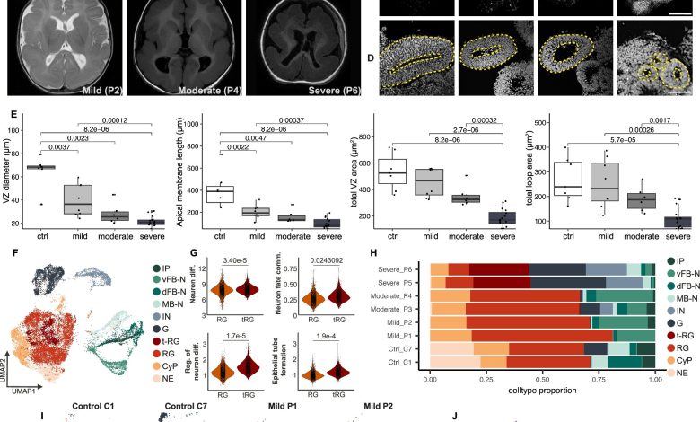
Caracterização morfológica e celular de organoides derivados de pacientes LIS1 em vários graus de gravidade. Crédito: Comunicações da Natureza (2025). DOI: 10.1038/s41467-025-64980-0
Pesquisadores do Instituto Central de Saúde Mental (CIMH) em Mannheim, juntamente com parceiros internacionais, desenvolveram organoides cerebrais derivados de pacientes pela primeira vez, a fim de compreender melhor a doença genética rara LIS1-lissencefalia. O estudo mostra como as alterações genéticas perturbam a estrutura celular e a função das proteínas e, assim, causam diferentes gravidades da doença. Os resultados laboratoriais iniciais sugerem que os medicamentos já disponíveis podem ajudar.
Crianças com lisencefalia LIS1 nascem com um cérebro no qual os sulcos e circunvoluções típicos estão gravemente reduzidos ou completamente ausentes. Esta doença genética rara leva a graves distúrbios de desenvolvimento, ataques epilépticos e uma expectativa de vida limitada. Para as famílias afetadas, o diagnóstico muitas vezes significa grande incerteza, pois as causas e a progressão da doença ainda são pouco compreendidas.
Organoid fornece informações sobre o curso da doença
Uma equipa de investigação internacional liderada pelo Instituto Central de Saúde Mental (CIMH) em Mannheim conseguiu agora desenvolver um modelo para a doença na forma dos chamados organoides cerebrais – tecido cerebral humano cultivado em laboratório – a fim de obter novos conhecimentos sobre o desenvolvimento da lisencefalia LIS1.
A equipe liderada pela pesquisadora do CIMH, Dra. Julia Ladewig, usou células-tronco de pacientes LIS1 para criar organoides cerebrais tridimensionais em laboratório que imitam o desenvolvimento inicial do córtex cerebral. Isto permitiu aos investigadores compreender pela primeira vez porque é que as mutações no gene LIS1 causam diferentes graus de gravidade da doença. As descobertas são publicadas em Comunicações da Natureza.
As células mantêm a sua forma e estabilidade graças a uma estrutura interna, o citoesqueleto. Um de seus componentes essenciais são os chamados microtúbulos, minúsculas estruturas tubulares dentro da célula. O presente estudo mostra que as alterações genéticas no LIS1 desestabilizam a estrutura interna de suporte das células, os microtúbulos. Isso perturba a organização e divisão das células progenitoras nervosas. Esses distúrbios podem fazer com que as camadas celulares do córtex cerebral tenham uma disposição irregular – uma característica central da doença.
Detectando mudanças no nível molecular
Os pesquisadores realizaram análises de sequenciamento de RNA unicelular. Este método mapeia a expressão genética em milhares de células individuais. Eles combinaram o conhecimento de quais genes estão ativos em células individuais com dados sobre o proteoma, ou seja, a totalidade de todas as proteínas nas respectivas células. Isto permitiu-lhes registar as alterações relacionadas com a doença em vários níveis moleculares.
Esta abordagem mostrou que, além das alterações na estrutura do citoesqueleto, as proteínas celulares ficam sob estresse durante a doença e não conseguem mais manter seu dobramento normal – um processo conhecido como desregulação da proteostase. Este mecanismo pode ser um fator comum em muitos distúrbios do neurodesenvolvimento.
“As análises proteômicas nos ajudaram a entender melhor as consequências funcionais das alterações genéticas e a identificar vulnerabilidades moleculares”, explica o Dr. Matteo Gasparotto, pesquisador do Instituto Hector de Pesquisa Translacional do Cérebro (HITBR) do CIMH e um dos primeiros autores do estudo.
A medicação disponível pode ajudar
A equipe procurou então substâncias ativas conhecidas que influenciassem essas vias de sinalização perturbadas. Isto mostrou que o medicamento everolimus, já aprovado clinicamente, entre outros, foi capaz de restaurar parcialmente o equilíbrio celular nos organoides. “Esta é uma indicação interessante de que os medicamentos já disponíveis também podem ajudar com distúrbios raros do desenvolvimento”, diz a Dra. Lea Zillich, pesquisadora da HITBR e primeira autora do estudo.
“Nossos modelos organoides nos permitem observar a doença em um estágio muito inicial, no nível celular, e comparar diretamente os efeitos de diferentes mutações”, explica a Dra. Julia Ladewig, chefe do grupo de pesquisa de Patologias do Desenvolvimento Cerebral do CIMH e última autora do estudo. “Isso nos ajuda a entender por que algumas crianças são mais gravemente afetadas do que outras.”
Contribuição para a redução dos testes em animais
Os pesquisadores enfatizam que o uso da tecnologia organoide também pode ajudar a reduzir os testes em animais, pois permite que os processos de desenvolvimento do cérebro humano sejam estudados diretamente na placa de cultura celular e a eficácia dos medicamentos seja testada.
O trabalho sublinha como os organoides derivados de pacientes podem ajudar a compreender a gravidade individual da doença e a desenvolver abordagens terapêuticas personalizadas.
Mais informações:
Lea Zillich et al, Capturar a gravidade da doença na lissencefalia LIS1 revela desregulação da proteostase em organoides do prosencéfalo derivados do paciente, Comunicações da Natureza (2025). DOI: 10.1038/s41467-025-64980-0
Fornecido por Zentralinstitut für Seelische Gesundheit
Citação: Organoides fornecem novos insights sobre malformações raras do desenvolvimento do cérebro humano (2025, 15 de outubro) recuperados em 15 de outubro de 2025 em https://medicalxpress.com/news/2025-10-organoids-insights-rare-malformation-human.html
Este documento está sujeito a direitos autorais. Além de qualquer negociação justa para fins de estudo ou pesquisa privada, nenhuma parte pode ser reproduzida sem permissão por escrito. O conteúdo é fornecido apenas para fins informativos.






