
Identificar pessoas em risco de cicatrizes pulmonares perigosas, mesmo antes do aparecimento dos sintomas

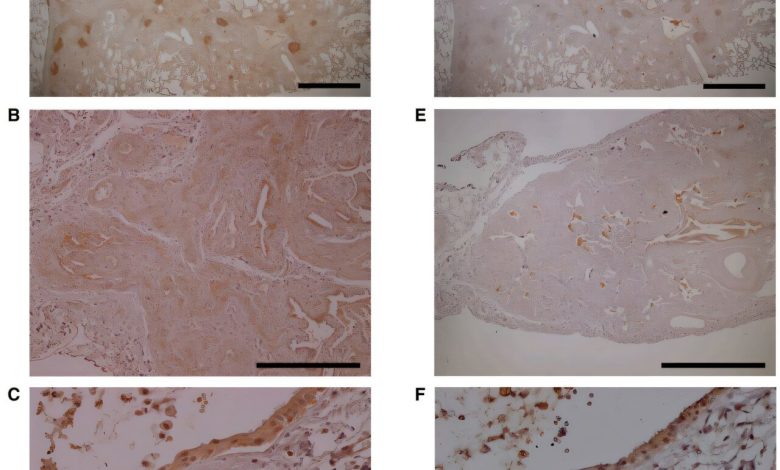
Coloração imuno-histoquímica de JAML (semelhante a molécula de adesão juncional) em tecido pulmonar de fibrose pulmonar idiopática em (A) ampliação de 123, (B) 403 e (C) 4003. Imunocoloração GCHFR (regulador de feedback GTP ciclohidrolase 1) de tecido pulmonar de fibrose pulmonar idiopática nas ampliações (D) 123, (E) 403 e (F) 4003. Barras de escala: A e C, 2 mm; B e E, 1mm; C e F, 100mm. Crédito: Jornal Americano de Medicina Respiratória e de Cuidados Intensivos (2025). DOI: 10.1164/rccm.202503-0610oc
Os pesquisadores pulmonares da UVA Health estão desenvolvendo uma abordagem promissora para detectar pacientes em risco de doença pulmonar intersticial (DPI), uma condição cada vez mais comum que é um dos principais motivos para transplantes de pulmão. A abordagem poderia acelerar o desenvolvimento de tratamentos novos e melhores, com efeitos secundários mais toleráveis do que as opções existentes.
Os cientistas da UVA já descobriram indicadores biológicos no sangue – “biomarcadores” – que podem prever as chances de sobrevivência de pacientes com DPI. Mas os investigadores, liderados por John S. Kim, MD, acreditam que estes tipos de biomarcadores podem ser usados para muito mais: os cientistas pretendem determinar se os biomarcadores podem identificar pessoas que ainda não desenvolveram DPI, mas que continuarão a fazê-lo. Eles também esperam mapear as características moleculares da DPI em estágio inicial e tardio para compreender melhor a condição e como ela se desenvolve, bem como encontrar maneiras de preveni-la.
“Muitas vezes, quando os pacientes são diagnosticados com doença pulmonar intersticial, eles já apresentam muitos danos aos pulmões que podem não se recuperar e limitam a eficácia dos tratamentos”, disse Kim, da Divisão de Cuidados Pulmonares e Críticos da UVA Health. “Nosso objetivo é identificar tratamentos que possam prevenir DPI, e um passo importante para fazer isso é identificar adultos em risco de desenvolver esta doença no futuro”.
Compreendendo a doença pulmonar intersticial
DPI é um grupo de doenças respiratórias crônicas que causam inflamação e cicatrizes no tecido pulmonar. O tipo mais comum é a fibrose pulmonar idiopática (FPI), cuja causa não é totalmente compreendida. Algumas formas de DPI progridem mais rapidamente do que outras, mas algumas são fatais e não há cura. Aproximadamente um terço de todos os transplantes de pulmão a cada ano vai para pacientes com DPI.
Existem medicamentos disponíveis que podem retardar a progressão da FPI, mas estes medicamentos podem ter efeitos colaterais, como afetar a função hepática, que podem deixar os pacientes incapazes de tomá-los. Muitos pacientes também sofrem de problemas gastrointestinais, como náuseas, vómitos e diarreia, pelo que são necessários tratamentos novos e melhores.
Kim e colegas publicaram recentemente um estudo de pesquisa no Jornal Americano de Medicina Respiratória e de Cuidados Intensivos que identificaram vários biomarcadores de proteínas plasmáticas associados a DPI de início recente. Notavelmente, algumas destas proteínas foram altamente expressas no tecido pulmonar de pacientes com DPI. Kim e os seus colaboradores esperam desenvolver este trabalho publicado e ajudar os médicos a compreender melhor a DPI e a FPI e a encontrar novas formas de tratar as doenças.
Os investigadores esperam que os seus próximos passos permitam aos médicos inscrever pessoas em risco de desenvolver DPI em ensaios clínicos preventivos.
“Nosso objetivo é identificar biomarcadores sanguíneos que prevejam tanto o desenvolvimento de DPI quanto a sobrevivência em pacientes com a doença”, disse Kim, do Departamento de Medicina da Faculdade de Medicina da UVA. “Esperamos que estes biomarcadores possam complementar outras ferramentas, como imagens pulmonares e genómica, para identificar adultos com maior risco de desenvolver DPI, o que será crucial para o desenvolvimento de tratamentos destinados a prevenir esta doença”.
Mais informações:
John S. Kim et al, Associações de biomarcadores proteômicos relacionados à área de alta atenuação com anormalidades pulmonares intersticiais fibróticas ou subpleurais, Jornal Americano de Medicina Respiratória e de Cuidados Intensivos (2025). DOI: 10.1164/rccm.202503-0610oc
Fornecido pela Universidade da Virgínia
Citação: Identificando pessoas com risco de cicatrizes pulmonares perigosas, mesmo antes do aparecimento dos sintomas (2025, 10 de outubro) recuperado em 10 de outubro de 2025 em https://medicalxpress.com/news/2025-10-people-dangerous-lung-scarring-symptoms.html
Este documento está sujeito a direitos autorais. Além de qualquer negociação justa para fins de estudo ou pesquisa privada, nenhuma parte pode ser reproduzida sem permissão por escrito. O conteúdo é fornecido apenas para fins informativos.






