
A atividade neural ajuda as conexões do circuito a amadurecerem e se tornarem transmissores de sinal ideais

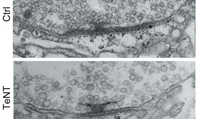
O detalhe de uma figura do artigo mostra sinapses formadas entre um neurônio (acima) e um músculo (abaixo) em uma fenda estreita. O formato distinto da barra em T indica uma zona ativa. Na imagem superior, a sinapse desenvolveu-se normalmente. Na imagem inferior, os pesquisadores interromperam a atividade da sinapse. Como resultado, a zona ativa cresceu muito (ambas as imagens estão na mesma escala). Crédito: Yulia Akbergenova / Littleton Lab / MIT Picower Institute
As funções do sistema nervoso, do movimento à percepção e à cognição, dependem das zonas ativas das conexões do circuito neural (sinapses), enviando a quantidade certa de seus sinais químicos nos momentos certos. Ao rastrear como as zonas ativas sinápticas se formam e amadurecem nas moscas da fruta, pesquisadores do Instituto Picower de Aprendizagem e Memória do MIT revelaram um modelo fundamental de como a atividade neural durante o desenvolvimento constrói conexões que funcionam adequadamente.
Compreender como isso acontece é importante, não apenas para o avanço do conhecimento fundamental sobre como os sistemas nervosos se desenvolvem, mas também porque muitos distúrbios como epilepsia, autismo ou deficiência intelectual podem surgir de aberrações na transmissão sináptica, disse o autor sênior Troy Littleton, professor Menicon no Instituto Picower e no Departamento de Biologia do MIT.
As novas descobertas fornecem informações sobre como as zonas ativas desenvolvem a capacidade de enviar neurotransmissores através das sinapses para os seus alvos no circuito. Não é instantâneo ou predestinado, mostra o estudo. Pode levar dias para amadurecer completamente e isso é regulado pela atividade neural.
Se os cientistas puderem compreender completamente o processo, disse Littleton, então poderão desenvolver estratégias moleculares para intervir e ajustar a transmissão sináptica quando ela estiver acontecendo muito ou pouco na doença.
“Gostaríamos de ter alavancas para tornar as sinapses mais fortes ou mais fracas, isso é certo”, disse Littleton. “E, portanto, conhecer toda a gama de alavancas que podemos usar para alterar potencialmente a produção seria emocionante.”
A cientista pesquisadora do Littleton Lab, Yuliya Akbergenova, liderou o estudo publicado em O Jornal de Neurociências.
Como as sinapses dos recém-nascidos crescem
No estudo, os pesquisadores examinaram neurônios que enviam o neurotransmissor glutamato através de sinapses para controlar os músculos das larvas da mosca. Para estudar como as zonas ativas nos animais amadureceram, os cientistas precisaram acompanhar a sua idade. Isso não era possível antes, mas Akbergenova superou a barreira ao projetar habilmente a proteína fluorescente mMaple, que muda seu brilho de verde para vermelho quando atingida por 15 segundos de luz ultravioleta, em um componente dos receptores de glutamato no lado receptor da sinapse.
Então, sempre que ela quisesse, ela poderia iluminar e todas as sinapses já formadas antes desse tempo brilhariam em vermelho e quaisquer novas que se formassem posteriormente brilhariam em verde.
Com a capacidade de rastrear o aniversário de cada zona ativa, os autores puderam então documentar como as zonas ativas desenvolveram a sua capacidade de aumentar a produção ao longo dos dias após o nascimento. Na verdade, os pesquisadores observaram como as sinapses eram construídas ao longo de muitas horas, marcando cada um dos oito tipos de proteínas que constituem uma zona ativa.
No início, as zonas ativas não conseguiam transmitir nada. Então, à medida que algumas proteínas iniciais essenciais se acumulavam, elas poderiam enviar glutamato espontaneamente, mas não se evocadas por estimulação elétrica do neurônio hospedeiro (simulando como esse neurônio poderia ser sinalizado naturalmente em um circuito). Somente após a chegada de várias outras proteínas é que as zonas ativas possuíam a estrutura madura para os íons de cálcio desencadearem a fusão das vesículas de glutamato na membrana celular para liberação evocada através da sinapse.
A atividade é importante
É claro que a construção não dura para sempre. Em algum momento, a larva da mosca para de construir uma sinapse e depois constrói novas mais adiante, à medida que o axônio neuronal se expande para acompanhar o crescimento dos músculos. Os pesquisadores se perguntaram se a atividade neural teria um papel na condução do processo de conclusão de uma zona ativa e de construção da próxima.
Para descobrir, eles empregaram duas intervenções diferentes para impedir que zonas ativas liberassem glutamato, evitando assim a atividade sináptica. Notavelmente, um dos métodos que escolheram foi bloquear a ação de uma proteína chamada Synaptotagmin 1. Isso é importante porque as mutações que perturbam a proteína em humanos estão associadas a deficiência intelectual grave e autismo. Além disso, os investigadores adaptaram as intervenções de bloqueio de actividade a apenas um neurónio em cada larva porque o bloqueio da actividade em todos os seus neurónios teria sido letal.
Nos neurônios onde os pesquisadores bloquearam a atividade, eles observaram duas consequências: os neurônios pararam de construir novas zonas ativas e, em vez disso, continuaram a tornar as zonas ativas existentes cada vez maiores. Era como se o neurônio pudesse perceber que a zona ativa não estava liberando glutamato e tentasse fazê-la funcionar, fornecendo-lhe mais material proteico para trabalhar. Esse esforço ocorreu às custas do início da construção de novas zonas ativas.
“Acho que o que está tentando fazer é compensar a perda de atividade”, disse Littleton.
Os testes indicaram que as zonas ativas ampliadas que os neurônios construíram na esperança de reiniciar a atividade eram funcionais (ou teriam sido se os pesquisadores não as estivessem bloqueando artificialmente). Isto sugeria que a forma como o neurónio sentia que o glutamato não estava a ser libertado era, portanto, provavelmente um sinal de feedback do lado muscular da sinapse. Para testar isso, os cientistas eliminaram um componente receptor de glutamato no músculo e, quando o fizeram, descobriram que os neurónios já não aumentavam as suas zonas ativas.
Littleton disse que o laboratório já está investigando as novas questões levantadas pelas descobertas. Em particular, quais são as vias moleculares que iniciam a formação de sinapses e quais são os sinais que indicam a uma zona ativa que ela terminou de crescer? Encontrar essas respostas aproximará os pesquisadores da compreensão de como intervir quando as zonas sinápticas ativas não estão se desenvolvendo adequadamente.
Além de Littleton e Akbergenova, os outros autores do artigo são Jessica Matthias e Sofya Makeyeva.
Mais informações:
Yulia Akbergenova et al, A maturação da zona ativa controla a saída pré-sináptica e o modo de liberação e é regulada pela atividade neuronal, O Jornal de Neurociências (2025). DOI: 10.1523/JNEUROSCI.1143-25.2025. www.jneurosci.org/content/earl… EUROSCI.1143-25.2025
Fornecido pelo Instituto de Tecnologia de Massachusetts
Citação: A atividade neural ajuda as conexões do circuito a amadurecer e se tornarem transmissores de sinal ideais (2025, 14 de outubro) recuperado em 14 de outubro de 2025 em https://medicalxpress.com/news/2025-10-neural-circuit-mature-optimal-transmitters.html
Este documento está sujeito a direitos autorais. Além de qualquer negociação justa para fins de estudo ou pesquisa privada, nenhuma parte pode ser reproduzida sem permissão por escrito. O conteúdo é fornecido apenas para fins informativos.






